“一切生命的关键问题都要到细胞中去找”_ Wilson 。
细胞是生物体生长、发育和繁殖的基础。
上海芈娜医学科技研究组有强大的细胞研究背景,主要研究
自体脂肪干细胞研究、SVF、外泌体、NK免疫细胞、人工皮肤(抗衰老),毛囊指甲干细胞等研究。
Autologous adipose stem cells
自体脂肪干细胞
人体的瑰宝︰脂肪干细胞(Adipose Stem Cell,ASC)
脂肪干细胞是起源于中胚层而定居于脂肪组织中的一类间充质干细胞。近年来,科学家发现脂肪不仅是一种具有多种生物学特性及生理学功能的组织,且其中富含的干细胞具有高度的自我复制更新能力、良好的多向分化潜能和免疫调节作用,是再生医 学领域重要的"种子"细胞。
广泛应用于移植治疗和组织工程,是成体干细胞中的“明日之星”。 脂肪干细胞在美容抗衰老方面的特殊能力有:
  • 局部填充除皱
    有效减轻鱼尾纹、抬头纹及法令纹,效果自然持久;
  • 面部美颜
    通过水光针导入干细胞,可促进胶原蛋白分泌及新生血管生成,加快皮肤新陈代谢,促进色素排除,有效改善皮肤发黄、暗沉及色素沉着等问题;
干细胞的用途和应用
研究成果
干细胞研究与治疗杂志 Stem Cell Research & Therapy
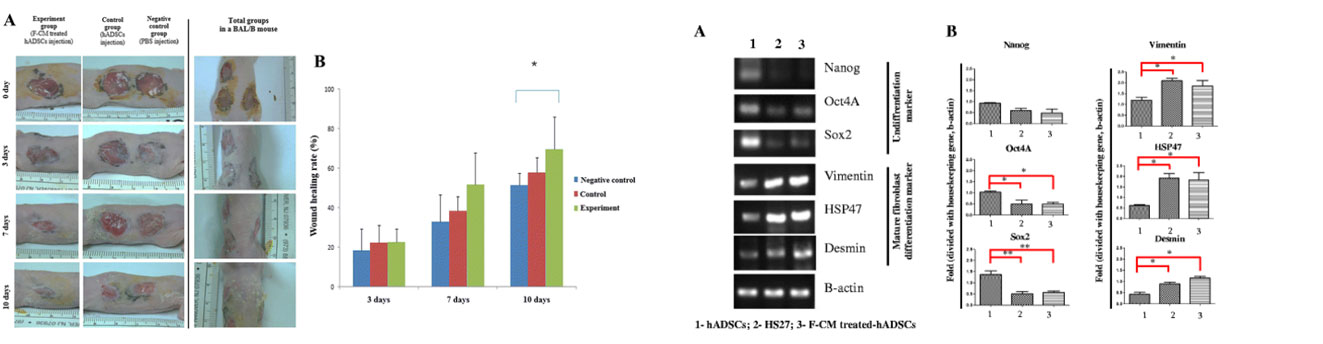
Regeneration of full-thickness skin defects by differentiated adipose-derived stem cells into fibroblast-like cells by fibroblast-conditioned medium
stromal vascular component cells
SVF(基质血管成分细胞)
SVF(Stromal Vascular Fraction),学名“血管基质组分”,是从患者自体抽取的脂肪组织中提取有效成分,含有多种具有修复功能的细胞以及细胞因子混合物形成的细胞群。
脂肪干细胞
脂肪干细胞(adipose derived stem cells,AD⁃SCs)是一类存在于脂肪组织中,增殖能力强,具有多向分化潜能的成体干细胞,属于人体间充质干细胞的一种。
脂肪干细胞取材容易,具有高分化潜能,可以分化成很多不同的组织细胞;具有调节机体免疫、修复受损组织的功能,广泛应用于美容、整形、抗衰、疾病等领域。
  • 1
    取材容易
    通过常规的抽脂手术即可
    获得,机体损伤小,
    且变废为宝
  • 2
    来源广泛
    脂肪组织在体内分布
    广泛,储量丰富
  • 3
    含量丰富
    脂肪组织中干细胞含量比
    骨髓间充质干细胞
    高出500倍
  • 4
    容易培养
    增殖能力强、增殖速度
    快,且衰老程度低
  • 5
    分化能力强
    具有高分化潜能,可以分化为
    很多不同组织的细胞
  • 6
    安全性高
    免疫原性较低,排斥反应
    少见。不涉及医学
    伦理学问题
脂肪间充质干细胞优势
  • 面部塑形

  • 丰胸丰臀

  • 免疫调理

  • 抗衰老

  • 组织修复

SVF(基质血管成分细胞)分离器
Nature killer cell
NK细胞
NK细胞(Nature killer cell)又称自然杀伤细胞,在人体内可直接清楚衰老细胞、变异细胞、癌细胞及病毒感染细胞等,是人体健康的第一道防线。 NK细胞分泌Perforin蛋白质,癌细胞膜出现漏洞,加入Granzyme酶等购买癌细胞。
抗肿瘤及
病毒作用
即时的免疫反应
甚至可以攻击癌细胞不能攻击的T细胞
因 INF-gamma 而增加的适应性免疫
有效去除抗癌剂抗药性的癌干细胞
exosomes
细胞外泌体
外泌体是指包含了复杂 RNA和蛋白质的小膜泡 (30-150nm),1983年,外泌体首次于绵羊网织红细胞中被发现,1987年Johnstone将其命名为“exosome”。 多种细胞在正常及病理状态下均可分泌外泌体,且外泌体天然存在于体液中,包括血液、唾液、尿液、脑脊液和乳汁中。其主要来源于细胞内溶酶体微粒内陷 形成的多囊泡体,经多囊泡体外膜与细胞膜融合后释放到胞外基质中。外泌体目前被视为特异性分泌的膜泡,参与细胞间通讯,对外泌体的研究兴趣日益增长, 无论是研究其功能还是了解如何将其用于微创诊断的开发。

人体内多种细胞及体液均可分泌外泌体,包括内皮细胞、免疫细胞、血小板、平滑肌细胞等。当其由宿主细胞被分泌到受体细胞中时,外泌体可通过其携带的 蛋白质、核酸、脂类等来调节受体细胞的生物学活性。
外泌体介导的细胞间通讯主要通过以下三种方式:
1、外泌体膜蛋白可以与靶细胞膜蛋白结合,进而激活靶细胞细胞内的信号通路。
2、在细胞外基质中,外泌体膜蛋白可以被蛋白酶剪切,剪切的碎片可以作为配体与细胞膜上的受体结合,从而激活细胞内的信号通路。
3、外泌体膜可以与靶细胞膜直接融合,非选择性的释放其所含的蛋白质、mRNA以及microRNA。
Study on Anti aging of Skin
皮肤抗衰老研究

科学家发明人类皮肤模型 可替代动物实验

芯片直径1厘米,能够摹拟人类皮肤结构和机能反应。通过在硅胶材料上培养人体细胞制成,而且,就像真正的人类皮肤,该模型也有三层:表皮, 真皮和皮下血管。
注入一种化学物质时会流经血管,科学家就能看到每个皮肤生理层面的生理变化,观察是否导致了炎症。该项目首席研究员表示,这种皮肤模型芯片 在提高临床试验准确性的同时,有望减少或消除对动物实验的需求。
“对动物没有副作用的化学成分,在人体上可能导致并发症,这是因为两者的皮肤厚度和结构不一样。这个芯片模型能模拟真实人体皮肤对药物的反 应,提高实验准确性,同时缩短临床试验时间,因为动物实验需要几个月甚至几年才能完成。”
研究该项目的负责人麦尔丹博士表示,下一步目标是开发出为实验室应用而大规模量产该芯片的方法。
Hair follicle and nail stem cells
毛囊指甲干细胞
毛囊指甲干细胞通过诱导可使毛囊指甲再生,并产生毛发。
米娜博士正在动物皮肤上进行实验
  • Company

    上海芈娜医学科技有限公司

  • Address

    上海市浦东新区茂兴路88号仁恒广场3层302室

  • Tel

    010-51663146

Copyright © 2022 上海芈娜医学科技有限公司 All Rights Reserved 沪ICP备2022028760号 网站建设博乐虎科技

微信扫描关官方微信

微信扫描添加商务微信